ShafferSeminars

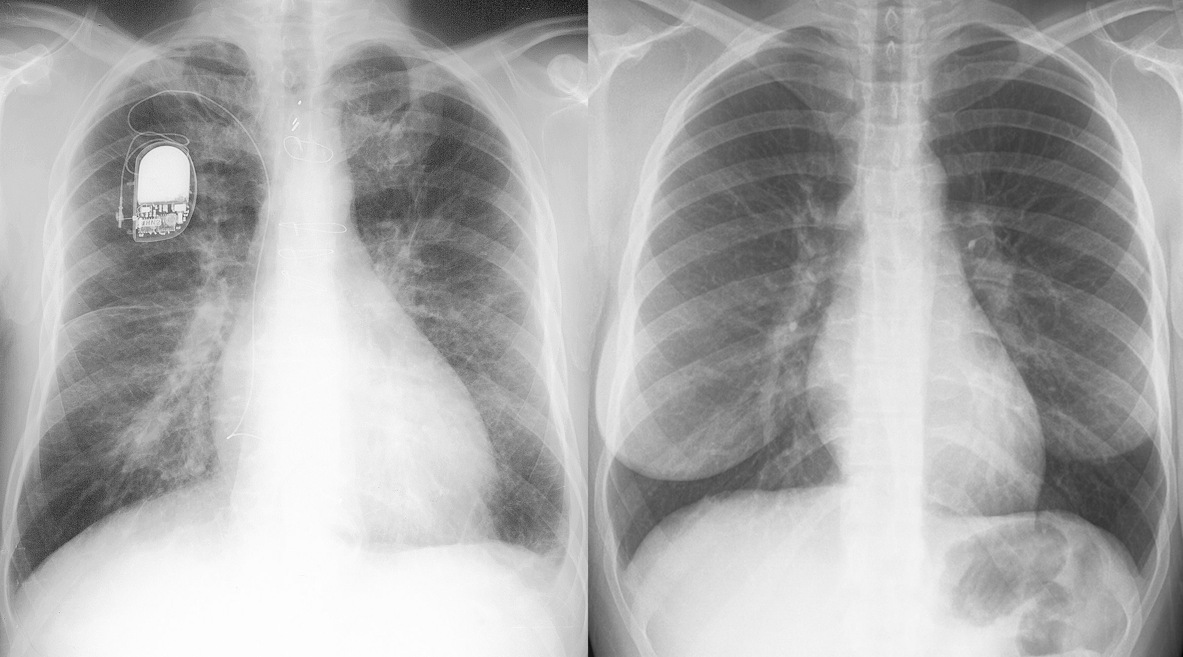
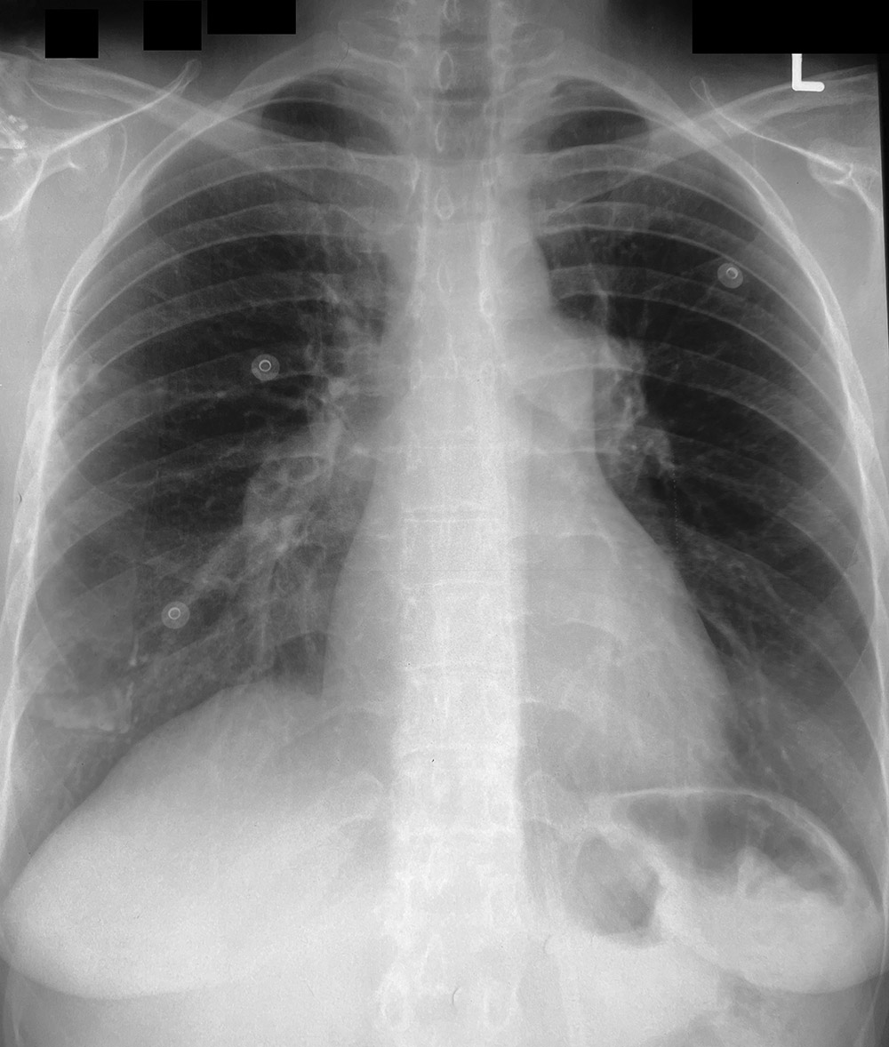
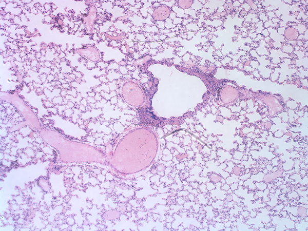
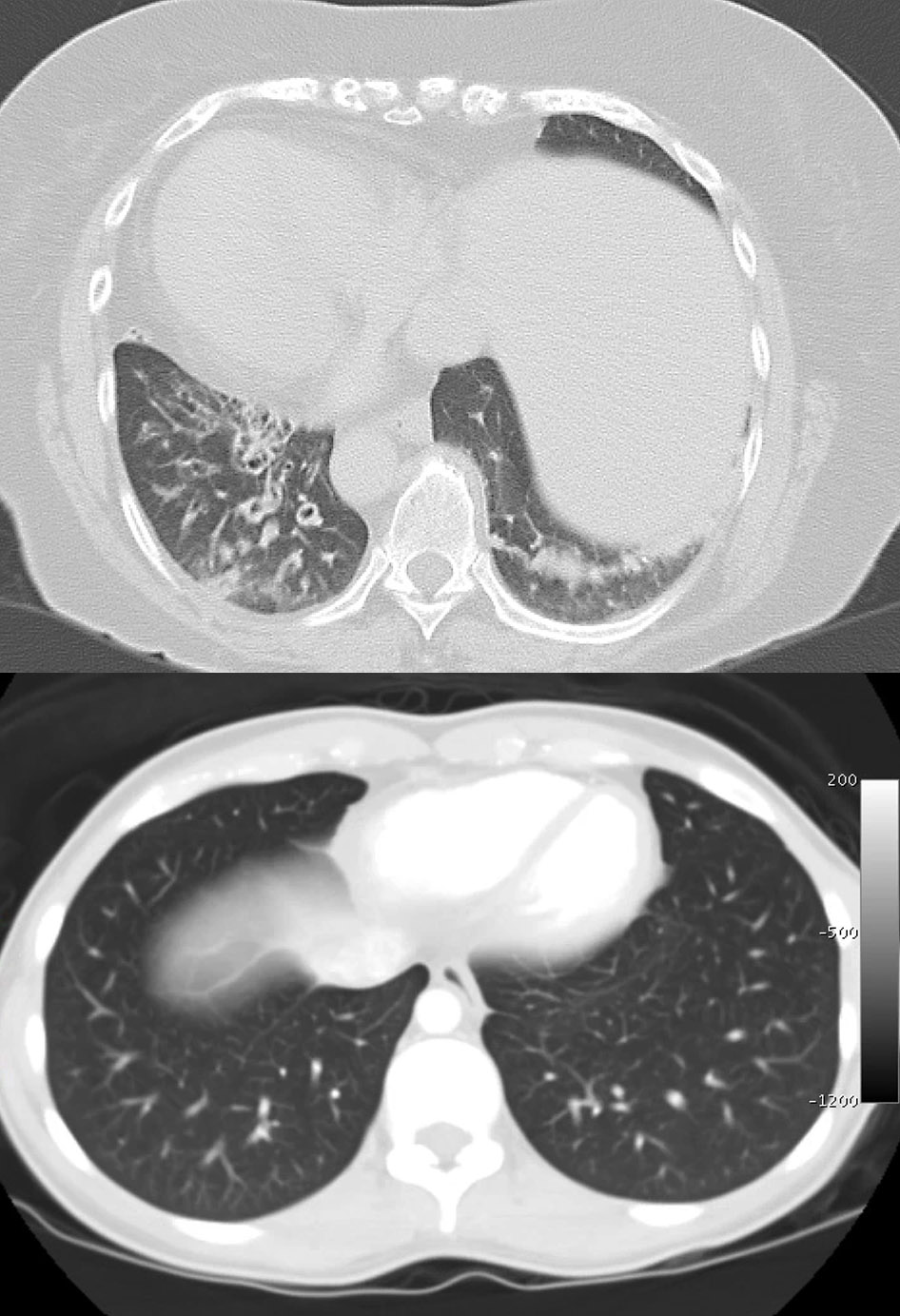
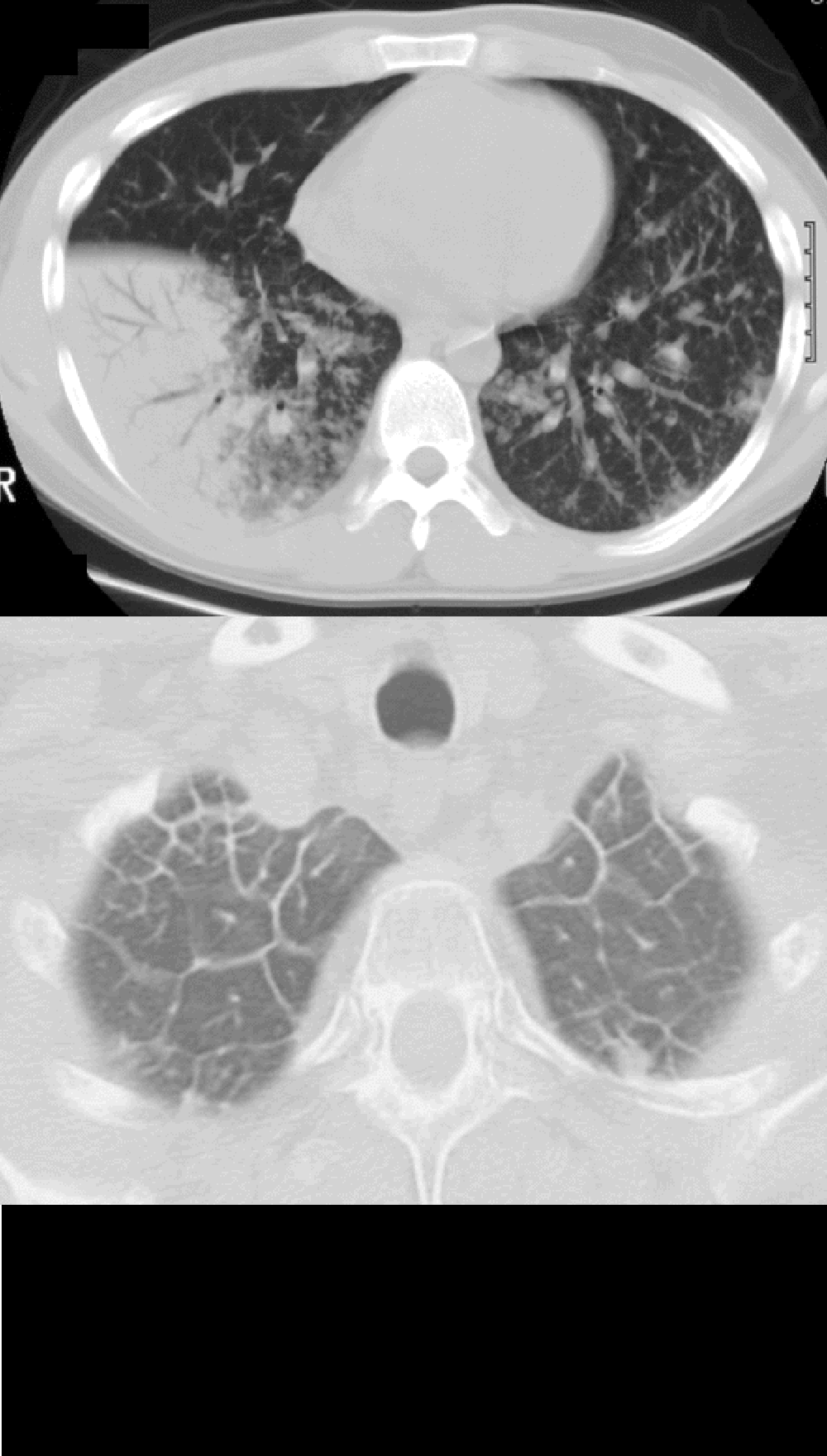
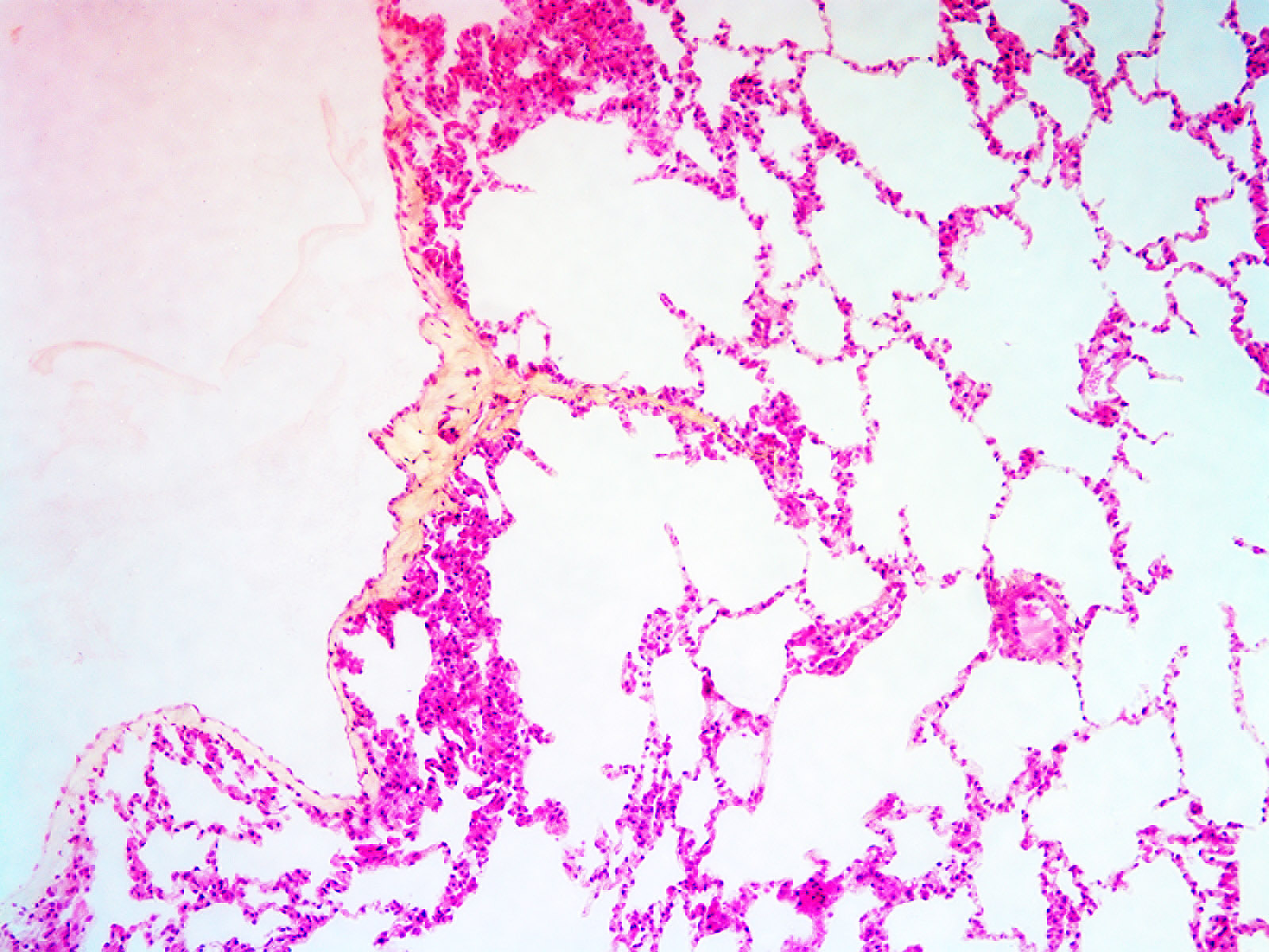
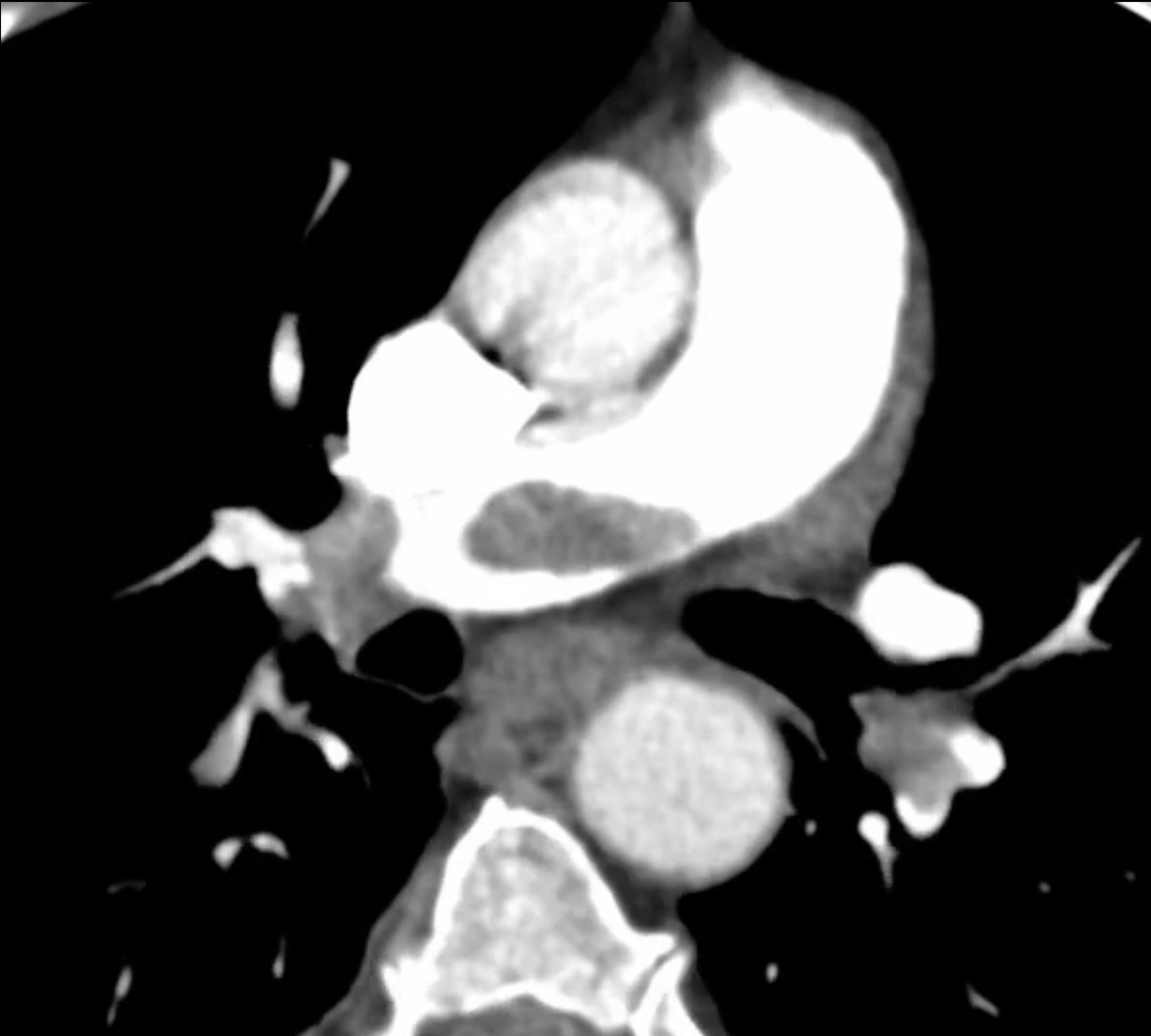
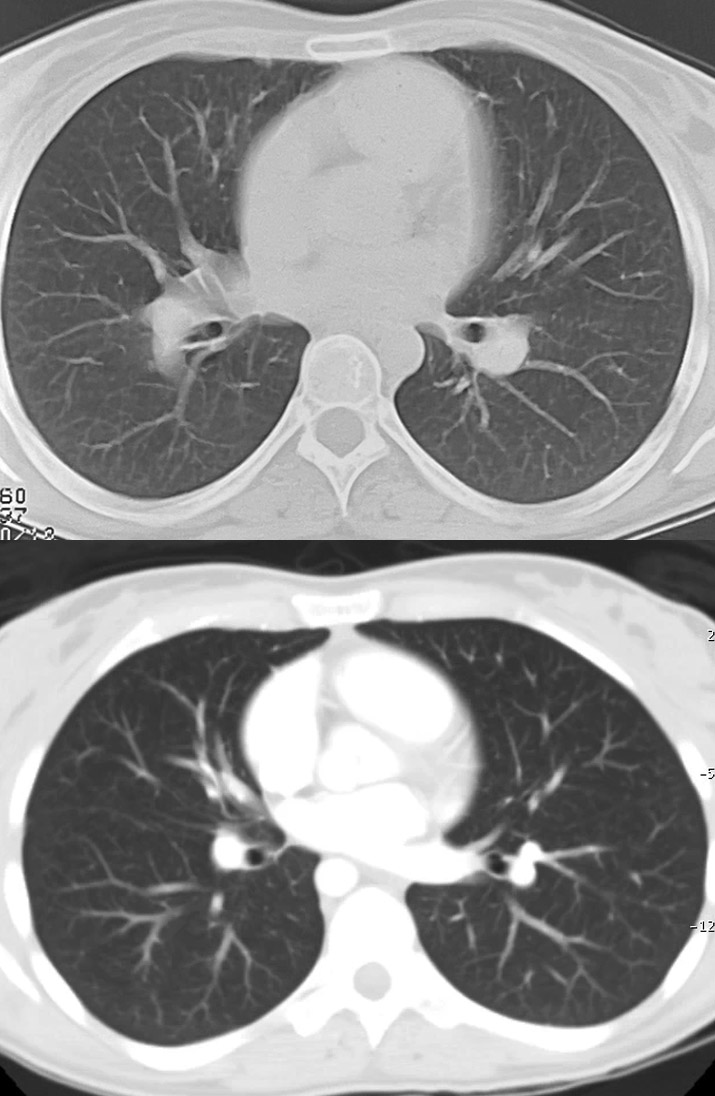
◂Chest CT for Internal Medicine Residents

Your browser does not support the video tag.
Your browser does not support the video tag.
Thumbnail Size
Prev Next